


















公司网址:www.www.wagawa.com
厂家服务热线:0903-6682528
全国服务热线:400-966-8288
公司地址:新疆和田洛浦县杭桂路232号
海力曼·依拉洪”,邬利娅·伊明,王晓雯?
(新疆医科大学”基础医学院病理教研室,药学院,新疆 乌鲁木齐 830054)
摘要:目的:研究肉苁蓉总苷(GCs)对阿霉素(ADR)所致小鼠心肌线粒体损害的保护作用。方法:对各实验组小鼠心肌细胞进行超微结构观察 并应用体视学方法对心肌细胞的线粒体体密度(Vvm)表面积密度(Svm),比表面积(Qm)及线粒体的面数密度(Num)进行计算、结果:ADR组心肌细胞超微结构有一定程度的损害,表现为心肌细胞肿胀,线粒体弥浸性肿胀、增生、空泡变性;肌浆网扩张,次级溶酶体增多;核体积增大,核周隙增宽 GC中高剂量组心肌细胞超微结构基本恢复正常,结论 ADR可导致心肌线粒体的损伤,面GC-对心肌细胞线粒体有一定的保护作用。
关键词:肉苁蓉总苷;阿霉素;心肌细胞线粒体;体视学
中图分类号:R-332Q949,778.3 文献标识码:A 文章编号:1009-5551(2004)02-0128-03
阿霉素(ADR)是一种广谱抗肿瘤药物,但对心肌有一定毒性作用。肉苁蓉总苷是从肉苁蓉中提取的活性成分,其具有清除自由基和抗脂质过氧化作用,为探讨阿霉素对心肌的毒性作用和寻找有效防治 ADR致心肌毒性的药物,我们对 ADR组和GCs组的小鼠心肌进行了电镜观察,并对心肌细胞的线粒体变化进行了定量研究,从超微结构的角度探讨 ADR对心肌细胞的毒性作用,以及肉苁蓉总苷对其损伤的保护作用
1 材料与方法
1.1 实验动物与试剂 NIH小鼠由新疆地方病研究所动物实验中心提供,医学实验动物合格证编号:16-068号,肉苁蓉总苷(GCs)从新疆北部产盐生肉苁蓉中提取,主要成分为苯乙醇苷类.由新疆医科大学药学院植物化学教研室提供 阿霉素(ADR)为明治医药有限公司
1.2 方法 选NIH小鼠 115只,体重(24±2)g.雌雄各半,随机分为5组(每组23只)(1)对照组:生理盐水(NS)20ml/kg;(2)ADR损伤组:NS20ml/kg:(3)GCI 组:GCs 62 5mg/kg:(4)GCII组:GC,125.0mg/kg;(5)CcJII组:GCs250 0mg/ kg,以上各组均灌胃给药,每日1次 ADR损伤组GC 组、GCAI组、GC4II组于给NS及 GCs后第4天腹腔注射 ADR(17.5mg/kg)48h后处死动物并迅速取心尖部心肌组织,采用4戊二醛和 院饿酸双重固定,丙酮剃度脱水,Epon 812包埋,铅铀双重染色,JEM-100CXII型透射电镜观察
1.3 体视学定量分析 对各实验组动物的心肌细胞线粒体进行定量研究,即在各组包埋块的超薄切片中,于13000倍下随即拍摄10个不同视野,每组动物共拍摄100个视野,然后按体视学网格测量方法和计算公式分别计算出心肌细胞线粒体的体密度(Vvm),表面积密度(Srm)线粒体比表面积(Qm)以及线粒体的面数密度(Num)
1.4 统计学处理 用PEMS软件对本组数据进行统计学分析,采用方差分析,检验水准a=0.05

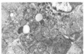
图1 对照组心肌细胞超微结构(6700) 图2 ADB损伤组心肌细胞超微结构K 9400)

图3 GcJ 组心肌细胞超微结构(x13000) 图4 GcJI 组心肌细胞超微结构(x13000)
2 结果
2.1 心肌细胞的电镜观察结果 对照组:心肌细胞膜完整,肌原纤维排列有序,肌节结构清晰,线粒体在肌丝下排列规整,结构正常,核结构正常(图1)ADR损伤组:可见心肌细胞超微结构有明显改变,心肌细胞肿胀,线粒体弥漫性肿胀,增生,嵴排列稀疏,有断裂,空泡变性,基质密度降低,肌浆网扩张,次级溶酶体增多,核体积增大,核周隙增宽(图2)GCI 组:心肌细胞肿胀和线粒体肿胀有所减轻,基质密度增强,个别线粒体崎仍有改变,胞质内次级溶酶体增多(图3)GCIII组:心肌细胞结构基本恢复正常.肌原纤维排列整齐,肌节结构正常,线粒体结构恢复正常(图4)
2.2 心肌细胞内线粒体体视学结果 方差分析结果表明,ADR损伤组 Vvm Svm Qm Num与对照组相比差异有统计学意义(P<0.01);GClI、II组Vvm Svm Qm Num与ADR损伤组相比差异有统计学意义(P<0.01),见表1
表1各实验组心肌细胞内线粒体体视学分析
Vme) | -- | fl | Nam | |
对期 | 22.33 1.96 5 | .43 1.4 | 1.00.96 6 | .88 087 |
AD伤组 31.4525P 7.29 L3P 5.4 L38 7.66 1.23 | ||||
GCJ组 31.06 2.53 7.0% 1.54 5.26 1.65 7.23 1.08 | ||||
CCI.Im 27.7% 217 6.13 1.9 4.6 139 6.96 1.18 | ||||
3 讨论
许多研究资料表明阿霉素对心肌有毒性作用本研究发现,给小鼠一次腹腔注射阿霉素(17.5mg/kg)48h后,小鼠心肌细胞有明显的超微结构改变,表现为心肌细胞肿胀,线粒体弥漫性肿胀、增生,空泡变性,肌浆网扩张;次级溶酶体增多,GCJ组
公司:win德赢官方
地址:新疆和田洛浦县杭桂路232号
公司网址:www.www.wagawa.com
厂家服务热线:0903-6682528
全国服务热线:400-966-8288