


















公司网址:www.www.wagawa.com
厂家服务热线:0903-6682528
全国服务热线:400-966-8288
公司地址:新疆和田洛浦县杭桂路232号
Tab 3 Efect of GCs a mpopbsi i brah clk n he Abheiners diase mic ndeced by train esbnsdne B-am yfol peptidd(土=10)
Gnup | Dase nglg | ddy |
Contral | - | 3.8±181 |
Model | - | 152±326** |
VIE | 8 | 61±191* |
GC. | 62.5 | 7.9±277* |
125 | 4 7±2.00** | |
250 | 5.8±187** |
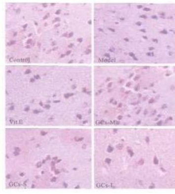
24 GC对β-淀粉样蛋白所致AD小鼠脑组织Bax Bc12的表达 模型组 Bax为阳性(+)GCs125.250mgkg剂量组和维生素E组为弱阳性(十);模型组 Bct2为弱阳性(十),GCs125.250mgkg剂量组和维生素E组为阳性(+),见Fg2Fig3.Tb 4
Tab 4 Effect of GCson spression of Bas Bell h bah crlh h the A bhein ers d Fease mice Induced by brain ksans due bβ-amylod peptle(1±)
Ganp | Dae kmgkg | Espenin of Bat | Enrai ZPIP |
Contel | - | + | 十十 |
Model | - | ++ | + |
VIE | 8 | + | ++ |
GC4 | 62.5 | ++ | + |
GCM | 125 | + | # |
GCM | 250 | + |






Fg2 Efect of GCsm apresba of Bat in brah ceBs in he Alheners d boem kc hduad by bah Esbns due oβ-amyol pptle

FE3 Enect of GCsen epresskn of Bet2 h braln celk h he Abhelners dheasemice hduand by brah lesbus
25 GC对β-淀粉样蛋白所致AD小鼠模型脑组织病理的影响 假损伤组:神经细胞大,核大,核仁居中清晰,核膜清楚,核形规则,常染色质较多,胞质内可见较多粗面内质网,线粒体,核糖体,可见高尔基体、细胞基质均匀一致,胞突内微丝微管排列整齐,髓鞘板层结构完整。模型组:脑组织可见空泡状结构,可见部分神经细胞和胶质细胞水肿,尤其是在血管周围,神经细胞核形不规则,并有明显核沟,核异染色质增多,细胞内部分线粒体基质变淡,并呈现空泡化可见脂褐素,胞突内微丝微管排列不整齐。髓鞘板层结构可见分离。维生素E组:神经细胞核形基本规则,核膜清楚,少见线粒体局部空泡改变核糖体多,少见脂褐素。胞突内微丝微管排列整齐髓鞘板层结构可见分离,GCs组:神经细胞核圆,核仁清晰,核膜清楚,核形规则,有边集现象,常染色质较多,胞突内微丝微管排列整齐,髓鞘板层结构基本正常.见Fig4Fg5
3 讨论
β-淀粉样肽(β-AP)是老年斑的主要组分,其在神经元和突触间的沉积是导致AD的主要原因.β-AP随着年龄增加而在脑内不断积累,在细胞基质沉淀聚集后可产生很多的神经毒性,是引起AD神经病理学特征的原发病灶,也是老年斑周边神经元变性和死亡的主要原因。其神经毒性涉及到复杂的

FE4 Efket of GCsan the paho bgkal changes ef AD m be brin neuron in the A kheiners dkase mic bduel bybrah

Fes Efect of GCsan he pe tho bgial chages of AD m ioe braa neuron ason h the A khein ers disease n ice inducel by brah leshasdue oβ-anybl petite GC.
分子机制,包括促进自由基的形成、破坏细胞内钙的稳态,细胞凋亡等,本实验将凝聚态的B-AP-次注入小鼠脑室形成痴呆模型,采用小鼠被动回避性跳台实验,结果表明模型组小鼠学习记忆能力下降。已知细胞膜的脂质过氧化会引起脑细胞损伤,自由基增多可进一步促进β-AP聚集,增强对神经元的损伤,经测定模型组脑匀浆中 MDA含量升高,SOD.GSH-Px活性降低,细胞凋亡增加,使Bax表达增强 Bc+2表达减弱,说明β-AP脑室注射使脑内过氧化物生成过多而抗氧化能力减弱。
已研究证明GCs具有抗氧化、清除自由基、抗衰老等作用。本研究亦发现GCs可提高β-AP所致AD小鼠模型学习记忆能力障碍,GCs能降低AD小鼠脑组织MDA含量,提高 SOD及GSH-Px活性说明GCs可增强自由基清除酶活性,增强机体对自由基的清除活力,减少自由基对机体的损伤,防止脂质过氧化作用,保护细胞免受损伤。并发现GCs可抑制脑细胞凋亡,使Bax表达减弱,Bct2表达增强。病理可见GCs组小鼠脑组织中神经细胞结构基本正常,胞突内微丝微管排列整齐,髓鞘板层结构基本正常。以上研究说明GCs对β-淀粉样蛋白所致AD小鼠模型学习记忆能力提高.,作用机制可能与其增强自由基清除酶活性,防止脂质过氧化作用,使Bax表达减弱,Bc+2表达增强而抑制脑细胞凋亡有关。
参考文献:
1 王德生,张守值,老年性痴呆(M}第1版,北京人民卫生出版社 2001 397
HahmobM.Tanbe & FujiYet al Chanie atn in btratihn af thn haning bilyh any bid bew infued rad .JNu 2005 135(3,549-55
杨翠平,苏薇薇,肉苁蓉研究进展[1.中药林,2001 12(24)907-9
14 王晓雯,李琳琳,王雪飞等,肉苁蓉总苷对小鼠组织的抗氧化作用1月中国中药杂志 199% 23(9):54
王晓雯,蒋晓燕,邮利娅·伊明 等,内次蓉总苷体外清除自由基及对OH·引发的DNA损伤的保护作用11.中国药学杂志,2001 36(1):29-32
王新源,王晓雯,王雪飞等,肉苁蓉总苷对D-半乳糖脑老化模型小鼠的保护作用11,中国行为医学科学,2004 13(6)613-5
17 赵晓民、谢湘林、鲁澄字、等,人参茎叶皂苷和胆碱合用对唑啡酸损毁基底核大鼠学习记忆的影响[川,中国药理学与春理学杂志,2000 14(6):417-20
Zhhowe B Deae & Sallem I etal Neumvaularpatray and Aldeimer anybal bee potidel l.Bruh hol 2005 15 (1)78-83
1% 王德生,张守信,老年性痴呆[M,第1版,北京:人民卫生出版社 2001 93-100
公司:win德赢官方
地址:新疆和田洛浦县杭桂路232号
公司网址:www.www.wagawa.com
厂家服务热线:0903-6682528
全国服务热线:400-966-8288